婦人科、母乳外来、おっぱいトラブル、小児歯科 授乳中のおっぱいトラブル!こんな方は助産院(母乳外来)へ 母乳育児第3回 育児のかけこみ寺へようこそ! 「私のおっぱいは大丈夫」と思っていても、 実はトラブルをかかえている場合があります。 おっぱいは、お母さんにとっては今だけでなく、一生つきあっていくものです。 今回は、助産院(母乳外来)へ行った方がいい例や助産師のえらび方について、お話しします。 ※【第2回 本来のおっぱいの姿を知ろう】は... 2017年4月28日 桃子
婦人科、母乳外来、おっぱいトラブル、小児歯科 授乳中のおっぱいのトラブル、つまる原因と血流 母乳育児第2回 育児のかけこみ寺へようこそ! 今回は、「本来のおっぱいの姿を知ろう」をテーマにお話しします。 食事に気をつけていても、おっぱいがつまりやすい人とつまりにくい人がいますよね。その違いは何なのでしょうか? 今回は、自分でおっぱいをコントロールできるように、基本となる知識をお話しします。 つまりの原因は食事が一番ではない お... 2017年4月20日 桃子
子育て、成長 授乳回数の減らし方|断乳・卒乳のうまくいくやり方 母乳育児第1回part2 育児のかけこみ寺へようこそ! 今回は、「断乳・卒乳」の進め方についてお話ししたいと思います。 おっぱいをやめるのに適した季節 これは絶対に知っておいてほしいのですが、出ているおっぱいをとめるのは、「乳腺炎を自分で引き起こす危険のある行為」ということを、おぼえておいてくださいね。そのため、断乳・卒乳は調子のいいときに行っ... 2017年3月6日 桃子
婦人科、母乳外来、おっぱいトラブル、小児歯科 授乳中の離乳食、授乳回数を減らし断乳・卒乳へ 母乳育児第1回part1 育児のかけこみ寺へようこそ! ままてぃの連載1本目は、「断乳・卒乳」についてお話ししたいと思います。授乳のゴールを先にお伝えしたいと思ったからです。 まず、「きちんと口から食事をする」こと 4月の職場復帰にむけて断乳・卒乳のことを考える方が多いと思います。お子さんは、三度の食事をしっかりと口からとれるようになっています... 2017年3月6日 桃子
婦人科、母乳外来、おっぱいトラブル、小児歯科 【育児のかけこみ寺へようこそ!】子育て/コラムスタートのお知らせ 3月6日より、 おおたかの森助産院の山本正子院長による、 子育てに役立つコラム連載【育児のかけこみ寺へようこそ!】がスタートします。 助産師・保育士・臨床発達心理士などの総合的な視点から、おっぱいだけでなく「身も心も社会的にも健康な子どもとお母さんになる」ために知っておきたいことや子どもとのコミュニケーションの仕方など... 2017年3月3日 桃子
婦人科、母乳外来、おっぱいトラブル、小児歯科 おしゃぶりの功罪(鼻呼吸と歯並び)歯科医師が語る子供の虫歯予防 9回 みなさん、こんにちは。前回は、口ぽか〜んについて少し話をさせていただきました。鼻呼吸ではなく、口呼吸が大事ということなのですが、鼻からも口からもどちらからも吸ったり吐いたりできるので、意識しないと、あるいは訓練しないとよくない習慣が身についてしまいますね。 おっぱいを吸っている時期は、口におっぱいを含んでいるわけで... 2016年1月29日 しのてぃ
婦人科、母乳外来、おっぱいトラブル、小児歯科 1歳半~2歳過ぎ、「乳臼歯」登場!鼻呼吸から口呼吸へ。赤ちゃんの虫歯予防第8回 みなさん、こんにちは。お子さんの年齢が1歳半をすぎて2歳児に近くなってくると、「乳臼歯」が登場(萌出)してきます。歯科的には、ビッグイベントなんです。 「奥歯が生える→噛める」なので、普段食べさせている食事が舌ですり潰せるものから、歯で潰せるものへ変わっていきますね。お肉なども練習しながら食べることができるようにな... 2016年1月15日 しのてぃ
婦人科、母乳外来、おっぱいトラブル、小児歯科 「むし歯の条件と、フッ化物の利用を!」赤ちゃんの虫歯予防7回 みなさん、こんにちは。そろそろ年の瀬も迫り、慌ただしい師走の時期がやってきました。保護者の皆さんにとっては、子供達の冬休み、クリスマスや年末年始など、行事がてんこ盛りですね。その分、可愛いお子さんの笑顔がたくさん見られる時ですから頑張れると思います。 前回、カイスの輪のお話をさせていただきました。むし歯ができる条件... 2015年12月25日 しのてぃ
婦人科、母乳外来、おっぱいトラブル、小児歯科 1歳児の歯は歯磨き必要か?歯ブラシではなくガーゼ。赤ちゃんの虫歯予防6回 みなさん、こんにちは。1歳児の前歯は、果たして歯磨きが必要でしょうか。そもそも、歯磨きは何のために行うの? 「ソリャァ、我が子をむし歯にしないために決まってるでしょ」 と、お母さんたちの声が聞こえてきそうです。 私たち歯科医師が大学の歯学部に入って一番最初にむし歯学について学ぶことは、「カイスの輪」です。(写真5... 2015年12月18日 しのてぃ
婦人科、母乳外来、おっぱいトラブル、小児歯科 1歳頃では、むし歯はできない?砂糖が入るか?赤ちゃんの虫歯予防5回 みなさん、こんにちは。前回は、1歳を過ぎて可愛い前歯が揃ってくると「むし歯にならないかしら」とか「歯はきちんと並ぶかしら」といろいろ心配になりますね。 前回、むし歯になるのは、食べ物が残りやすいところだけ、というお話しをさせていただきました。あれからお子さんの前歯をみていただけたでしょうか。 隙間があれば、歯磨きを... 2015年12月4日 しのてぃ
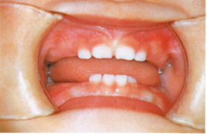
婦人科、母乳外来、おっぱいトラブル、小児歯科 「1歳児頃の乳前歯の歯並びと虫歯の関係」赤ちゃんの虫歯予防4回 みなさん、こんにちは。だいぶ寒くなってきましたね。道には落ち葉がたくさんあって、昔なら焼き芋でも。。。なのでしょう。 さて、前回は、1歳児頃の乳前歯の名前や形、その役割についてお話しさせていただきました。前回の写真では、中切歯の間にある、ピンクの歯肉が上唇につながっているように見えました。この部分を、上唇小帯と呼び... 2015年11月27日 しのてぃ
婦人科、母乳外来、おっぱいトラブル、小児歯科 「赤ちゃんの前歯のむし歯の判断と歯並び!」赤ちゃんの虫歯予防3回 みなさん、こんにちは。前回は、1歳頃には可愛い乳前歯が4本づつ生えてくるというお話をしました。離乳食から普通食へとすこしづつ食生活も変化している頃ですね。 我が子の乳歯、特にその色をよく見て欲しいのです。できれば写メを撮っておいてもらえると。。。。というのも、我々歯科医師は、むし歯の判断はまず歯の色をチェックするこ... 2015年11月20日 しのてぃ